1.Leyong Zeng, Wenzhi Ren, Lingchao Xiang, Jianjun Zheng, Bin Chen, Aiguo Wu*. Multifunctional Fe3O4-TiO2 nanocomposites for magnetic resonance imaging and potential photodynamic therapy, Nanoscale, 2013, 5, 2107-2113.

2.Lijing Miao, Junwei Xin, Zheyu Shen, Yujie Zhang, Haiyan Wang*, Aiguo Wu*. Exploring a new rapid colorimetric detection method of Cu2+ with high sensitivity and selectivity, Sensors and Actuators B: Chemical, 2013, 176, 906-912.

3.Zhuqing Wang, Dayu Wu, Genhua Wu, Ningning Yang, Aiguo Wu*. Modifying Fe3O4 microspheres with rhodamine hydrazide for selective detection and removal of Hg2+ ion in water. Journal of Hazardous Materials, 2013, 244-245, 621-7.

4.Yujie Zhang, Yumin Leng, Lijing Miao, Junwei Xin, Aiguo Wu*, The colorimetric detection of Pb2+ by using sodium thiosulfate and hexadecyl thimethyl ammonium bromide modified gold nanoparticles. Dalton Trans, 2013, 42(15): 5485-5490.

5.Yuexia Gao, Junwei Xin, Zheyu Shen, Wei Pan, Xing Li, Aiguo Wu*. A new rapid colorimetric detection method of Mn2+ based on tripolyphosphate modified silver nanoparticles. Sensors & Actuators: B. Chemical, 2013, 181, 288-293.

6.Xuehua Ma, An Gong, Lingchao Xiang, Tianxiang Chen, Yuexia Gao, Xingjie Liang, Zheyu Shen, Aiguo* Wu. Biocompatible composite nanoparticles with large longitudinal relaxivity for targeted imaging and early diagnosis of cancer. J.Mater.Chem.B, 2013, 1, 3419-3428.

7.Yumin Leng, Yonglong Li, An Gong, Zheyu Shen, Liang Chen*, Aiguo Wu*. Colorimetric Response of Dithizone Product and Hexadecyl Trimethyl Ammonium Bromide Modified Gold Nanoparticle Dispersion to 10 Types of Heavy Metal Ions: Understanding the Involved Molecules from Experiment to Simulation. Langmuir, 2013, 29, 7591-7599.

8.Wenzhi Ren, Leyong Zeng, Zheyu Shen, Lingchao Xiang, An Gong, Jichao Zhang, Chengwen Mao, Aiguo Li, Tatjana Paunesu, Gayle E. Woloschak, Narayan S. Hosmane, Aiguo Wu*. Enhanced doxorubicin transport to multidrug resistant breast cancer cells via TiO2 nanocarriers. RSC Advances. 2013, 3, 20855-20861.

9.Leyong Zeng*, Lingchao Xiang, Wenzhi Ren, Jianjun Zheng, Tianhua Li, Bin Chen, Jichao Zhang, Chengwen Mao, Aiguo Li, Aiguo Wu*. Multifunctional photosensitizer-conjugated core–shell Fe3O4@NaYF4:Yb/Er nanocomplexes and their applications in T2-weighted magnetic resonance/ upconversion luminescence imaging and photodynamic therapy of cancer cells. RSC Advance, 2013, 3, 13915-13925.

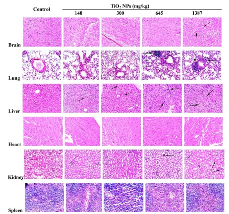
10.Jiaying Xu, Hongbo Shi, Magaye Ruth, Hongsheng Yu, Lissy Lazar, Baobo Zou, Cui Yang, Aiguo Wu, Jinshun Zhao*. Acute Toxicity of Intravenously Administered Titanium Dioxide Nanoparticles in Mice. PLOS ONE, DOI:10.1371/journal.pone.0070618.g001.

11.Christine A. Falaschetti, Tatjana Paunesku, Jasmina Kurepa, Dhaval Nanavati, Stanley S. Chou, Mrinmoy De, MinHa Song, Jung-tak Jang, Aiguo Wu, Vinayak P. Dravid, Jinwoo Cheon, Jan Smalle, and Gayle E. Woloschak,*. Negatively Charged Metal Oxide Nanoparticles Interact with the 20S Proteasome and Differentially Modulate Its Biologic Functional Effects. ACS NANO. DOI:10.1021/nn402416h.

12.Shanmin Gao, Xin Liu, Tao Xu, Xuehua Ma, Zheyu Shen, Aiguo Wu,Yinghuai Zhu, Narayan S. Hosmane*. Synthesis and Characterization of Fe10BO3/Fe3O4/SiO2 and GdFeO3/Fe3O4/SiO2: Nanocomposites of Biofunctional Materials. Chemistry OPEN, 2013, 2, 88-92.

